أسباب ظهور البقع البيضاء على الجلد

أسباب ظهور البقع البيضاء على الجلد يمكن أن تظهر البقع البيضاء على الجلد نتيجة لعدة أسباب. بداية من التعرض لأشعة الشمس إلى العدوى الفطرية إلى بعض حالات الجلد، يمكن للعديد من الأشياء أن تتسبب في تفتيح مناطق من الجلد.
على الرغم من أنها لا تشكل عادة سببًا للقلق، إلا أنك قد ترغب في فحص البقع البيضاء من قبل مقدم الرعاية الصحية حتى يتمكن من تحديد سبب تغير لون الجلد.
اعتمادًا على السبب الأساسي، قد تكون هناك طرق لتقليل ظهور البقع البيضاء على بشرتك أو حل أي أعراض مزعجة أخرى قد تسببها الحالة الأساسية.
أسباب ظهور البقع البيضاء على الجلد
إن ملاحظة ظهور بقع بيضاء على الجلد لا يعني بالضرورة وجود حالة أو اضطراب في الجلد . في بعض الأحيان، قد تتسبب عوامل أخرى في ظهور مناطق من الجلد الفاتح.
فيما يلي بعض الأسباب التي قد تؤدي إلى ظهور بقع بيضاء على الجلد.
البقع الشمسية
في حين أن مصطلح البقع الشمسية قد يستحضر صورة البقع الداكنة أو علامات تشبه النمش، إلا أن البقع الشمسية يمكن أن تظهر أيضًا على شكل بقع بيضاء أو أفتح على الجلد.
تنتج البقع الشمسية الداكنة على الجلد عن التعرض المزمن لأشعة الشمس، وتسمى أيضًا بقع الكبد، وبقع الشيخوخة، والنمش الشمسي.
تُعرف البقع الشمسية البيضاء باسم نقص تصبغ الجلد النقطي مجهول السبب.
تتطور هذه البقع البيضاء الحميدة (غير الضارة) عندما ينخفض مستوى الميلانين (خلايا الصبغ التي تعطي بشرتك وعينيك وشعرك لونها) في الجلد.
يعتقد الخبراء أن هذا يحدث نتيجة للتعرض المتكرر لأشعة الشمس وليس بسبب عامل آخر مثل الشيخوخة.
ليس من المستغرب أن تظهر هذه البقع البيضاء عادة في المناطق التي تتعرض لأشعة الشمس أكثر من غيرها، مثل السيقان والذراعين والظهر والوجه. وهي صغيرة مثل النمش – عادة ما يقل حجمها عن 1/8 بوصة – ويبدو أنها تنتقل بين أفراد العائلة.
النخالية المبرقشة

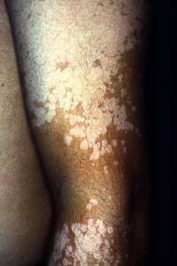
تحدث النخالية المبرقشة عندما ينمو نوع من الخميرة بشكل طبيعي على الجلد. تتحول هذه العدوى الفطرية على الجلد إلى طفح جلدي قد يبدو في النهاية على شكل بقع بيضاء أو فاتحة.
يمكن أن تتسبب النخالية المبرقشة في ظهور بقع بيضاء على الظهر والجزء العلوي من الذراعين والصدر والرقبة وتحت الإبطين. لا يعتبر هذا النوع من العدوى الفطرية معديًا.
تعتبر النخالية المبرقشة شائعة إلى حد ما بين المراهقين والشباب والأشخاص الذين يعيشون في مناخات أكثر دفئًا. إذا كنت مصابًا بالعدوى، فقد تواجه أعراضًا مثل الحكة الخفيفة، والتورم الخفيف، وزيادة التعرق.
الصدفية البيضاء
الصدفية البيضاء هي حالة جلدية تسبب بقعًا صغيرة مستديرة من الجلد تفقد لونها. بالنسبة لبعض الأشخاص، قد تبدو مثل الطفح الجلدي والحكة.
تظهر هذه البقع البيضاء عادة على الوجه والذراعين والجزء العلوي من الجذع. وقد تستمر لعدة أشهر أو أكثر من عام ولكنها ليست دائمة.
لا يعرف الخبراء على وجه اليقين ما الذي يسبب الصدفية البيضاء، ولكن يُعتقد أنها مرتبطة بالإكزيما. وهي أكثر شيوعًا بين الأطفال والمراهقين.
البهاق

البهاق هو حالة من أمراض المناعة الذاتية التي تسبب فقدان بقع من الجلد للون، مما يؤدي إلى ظهور بقع بيضاء. تتطور هذه الحالة عندما يهاجم الجهاز المناعي عن طريق الخطأ خلايا التصبغ في الجسم.
تبدأ بقع البهاق عادةً على الوجه والذراعين واليدين والقدمين. ومن هناك، يمكن أن تنمو البقع أو تتطور بقع أخرى في أماكن أخرى من الجسم. في البداية، قد تكون البقع وردية اللون.
يتحول الجلد المصاب إلى اللون الأبيض بمجرد أن يختفي البهاق.
قد يلاحظ بعض الأشخاص أعراضًا أخرى للبهاق، مثل الحكة، وزيادة خطر الإصابة بحروق الشمس، وتغيرات السمع، وتفتيح لون العين أو الشعر.
على الرغم من أن البهاق يمكن أن يكون وراثيًا، إلا أنه قد يحدث أيضًا بسبب عوامل مثل حروق الشمس السيئة، أو إصابة الجلد، أو تعرض الجلد لمواد كيميائية قوية.
ذات صلة: أسباب سرطان الجلد
الميليا

الميليا هي نتوءات صغيرة بيضاء غير ضارة تتطور عندما تتجمع خلايا الجلد الميتة (الكيراتين) تحت سطح الجلد.
تظهر الميليا بشكل شائع على الوجه – مثل الخدين والأنف والذقن – ولكنها قد تظهر أيضًا على أجزاء من الجسم تعرضت للإصابة. يمكن للبالغين الإصابة بها، لكنها شائعة جدًا بين الأطفال حديثي الولادة.
نقص التصبغ الناجم عن الستيرويد
قد يؤدي الحصول على حقنة كورتيكوستيرويد أو تطبيق الستيرويد موضعياً في بعض الأحيان إلى ظهور بقع بيضاء في منطقة الحقن أو منطقة التطبيق.
على الرغم من أن هذه البقع (أو بقعة واحدة) غالبًا ما تبدو ذات شكل غير منتظم، إلا أنها ستبدو محددة بشكل جيد. قد يستغرق ظهورها بعض الوقت وقد تختفي من تلقاء نفسها بعد بضعة أشهر.
علاج البقع البيضاء على الجلد
اعتمادًا على السبب، قد تتمكن أو لا تتمكن من التخلص من البقع البيضاء على بشرتك. في بعض الأحيان، تختفي البقع من تلقاء نفسها. وفي أحيان أخرى، قد تحتاج إلى علاج.
في بعض الأحيان قد لا تحتاج إلى علاج لأسباب طبية ولكنك تريد بدلاً من ذلك جعل البقع أقل وضوحًا لأغراض تجميلية.
البقع الشمسية
لا توجد علاجات فعّالة للبقع الشمسية البيضاء (نقص تصبغ الجلد النقطي مجهول السبب).
أما بالنسبة للبقع البنية (النمش الشمسي)، فإن خيارات العلاج الممكنة تشمل العلاج بالتبريد، والتقشير الكيميائي، والتقشير الجلدي، والعلاج بالليزر، والكريمات والمراهم الموضعية مثل الهيدروكينون، والريتينويدات (مثل التريتينوين)، والستيرويدات.
ذات صلة: البقع الشمسية على الجلد
الصدفية البيضاء
تميل البقع البيضاء الناتجة عن الصدفية البيضاء إلى الشفاء من تلقاء نفسها، على الرغم من أن الستيرويدات الموضعية، أو بعض المرطبات، أو علاجات الليزر قد تساعد في تقليل ظهورها إذا لزم الأمر.
النخالية المبرقشة
بالنسبة للعدوى الفطرية مثل التينيا الملونة، قد يُنصح باستخدام منتج موضعي مضاد للفطريات متاح دون وصفة طبية.
قد تتطلب بعض الحالات استخدام دواء مضاد للفطريات بوصفة طبية، إما يتم وضعه على الجلد أو تناوله عن طريق الفم.
البهاق
لا يوجد علاج للبهاق حاليًا، ولكن هناك مجموعة متنوعة من العلاجات المتاحة التي يمكن أن تساعد في استعادة لون الجلد وتقليل احتمالات انتشار البقع البيضاء إلى أجزاء أخرى من الجسم.
غالبًا ما تشمل خيارات علاج البهاق الأدوية الموضعية مثل كريم Opzelura الموصوف طبيًا، والليزر، والعلاج بالضوء، والتغطية التجميلية. يمكن استخدام إجراءات ترقيع الجلد في الحالات الشديدة.
الميليا
لا تحتاج الميليا إلى علاج عند الأطفال أو الرضع وعادة ما تختفي من تلقاء نفسها خلال أسابيع دون علاج. ولكن عند البالغين، يمكن إزالة الميليا العنيدة بواسطة مقدم الرعاية الصحية إذا فضل المريض ذلك.
ذات صلة: حبوب الميليا
فرط تصبغ الجلد الناجم عن الستيرويد
يمكن للبقع البيضاء الناتجة عن حقن الستيرويد أو تطبيقه أن تختفي من تلقاء نفسها أيضًا.
كيفية منع ظهور البقع البيضاء على الجلد
لا توجد طريقة لمنع حالة جلدية مثل البهاق، ولكن يمكنك القيام بدورك للحفاظ على بشرتك صحية ومحمية من عوامل مثل أشعة الشمس والتعرض للمواد الكيميائية وغيرها من المهيجات المحتملة.
من أجل صحة الجلد بشكل عام، يوصي الخبراء عادةً بما يلي:
- وضع واقي الشمسأو ارتداء القبعات الواقية أثناء التواجد في الشمس
- سؤال مقدم الرعاية الصحية الخاص بك عما إذا كان يجب عليك جدولة فحوصات الجلد المنتظمة
- الحرص على غسل اليدين بشكل متكرر بالماء والصابون
- اتخاذ الاحتياطات اللازمة في أماكن العمل التي تتضمن مواد كيميائية
- استخدام الماء الدافئ (وليس الساخن) والمنتجات اللطيفة أثناء روتين العناية بالبشرة
متى يجب عليك زيارة الطبيب؟
لا تشكل البقع البيضاء على الجلد عادة سببًا للقلق. ولكن نظرًا لأنها قد تظهر لأسباب متنوعة، فمن الجيد أن يقوم مقدم الرعاية الصحية بفحص أي مناطق من الجلد شهدت تغيرًا في اللون.
بهذه الطريقة، يمكنك الحصول على تشخيص وعلاج دقيق إذا لزم الأمر.
بشكل عام، استشر مقدم الرعاية الصحية إذا لاحظت بقعًا غير عادية على الجلد والتي:
- تسبب أعراض إضافية مثل الحكة أو الألم
- لقد تغير لونه
- لم يذهب بعيدا أو يستمر في الظهور مرة أخرى
- ينتشر إلى أجزاء أخرى من الجسم
خاتمة
يمكن أن تتطور البقع البيضاء على الجلد نتيجة التعرض لأشعة الشمس أو عدوى فطرية أو حقن الستيرويد أو تطبيقه موضعيًا. قد تكون البقع البيضاء أيضًا ناتجة عن حالة جلدية كامنة، مثل الصدفية البيضاء أو البهاق أو الميليا.
في حين أن العديد من البقع البيضاء عادة ما تكون غير ضارة وقد تختفي من تلقاء نفسها، فمن الجيد فحص المنطقة بواسطة مقدم رعاية صحية للحصول على تشخيص وعلاج رسمي، إذا لزم الأمر.
أسباب ظهور البقع البيضاء على الجلد
مُرْجَانَةٌ تتمني لكم دوام الصحة والعافية
دمتم سالمين
المصدر:
Causes of White Spots on Your Skin



